APISRILANKAN
APISRILANKAN Open in app for the best experience
FREE on the App Store
APISRILANKAN
APISRILANKAN Open in app for the best experience
FREE on Google Play
APISRILANKAN Sri Lankan Community UK

📱 Scan to open this page in the app

Download on the
App Store
Get it on
Google Play

Homepage
  • Home
  • News
    Latest News
    Community News (UK) Sri Lanka News
  • Events
    Upcoming Events Our Media Coverages
    Past Events (Archives)
  • Our Community
    Community Home
    Business Directory Marketplace Sri Lankans in UK - Forum
  • Get in Touch
    Get the App
    Contact Us
    About Us Our Services Advertising FAQ How to Guide

St Vincent News - Sri Lankan Community UK

St Vincent Featured News

Metre-long worm living in foot for at least four years

Metre-long worm living in foot for at least four years

11 years ago • Community News

Metre-long worm living in foot for at least four years

11 years ago • News

St Vincent News

Metre-long worm living in foot for at least four years
Metre-long worm living in foot for at least four years
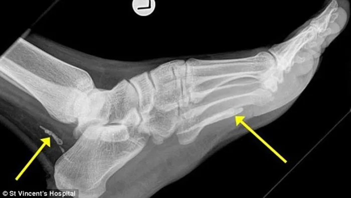
Buried at the back of his ankle and the front of his sole, the disintegrated parts of a metre long worm...
11 years ago • Community News
Latest News
*Featured
An Evening of Heritage and Honour: SLMA UK 40th Anniversary Celebration...
An Evening of Heritage and Honour: SLMA UK 40th Anniversary Celebration...
3 days ago | United Kingdom
Remembering Anu Fernando: A Life of Strength, Love, and Lasting...
Remembering Anu Fernando: A Life of Strength, Love, and Lasting...
4 days ago | United Kingdom
*Featured
Devi PPA UK Celebrates 35th Anniversary with Milestones and New...
Devi PPA UK Celebrates 35th Anniversary with Milestones and New...
8 days ago | United Kingdom
View More
Upcoming Events
Featured
Sat 11 Apr 2026 18:30 PM
Dance Away with Lunu Dehi - Maris Stella DD 2026
Dinner Dance
Dance Away with Lunu Dehi - Maris Stella DD 2026
Featured
Sat 25 Apr 2026 18:00 PM
The Blue & Gold Ball - 2026
Dinner Dance
The Blue & Gold Ball - 2026
Featured
Sat 25 Apr 2026 18:30 PM
Rhythm of Galle – Charity Dinner Dance - 2026
Charity & Fundrasing
Rhythm of Galle – Charity Dinner Dance - 2026
View More
Community News (UK)
*Featured
An Evening of Heritage and Honour: SLMA UK 40th Anniversary Celebration...
An Evening of Heritage and Honour: SLMA UK 40th Anniversary Celebration...
3 days ago | United Kingdom
Remembering Anu Fernando: A Life of Strength, Love, and Lasting...
Remembering Anu Fernando: A Life of Strength, Love, and Lasting...
4 days ago | United Kingdom
*Featured
Devi PPA UK Celebrates 35th Anniversary with Milestones and New...
Devi PPA UK Celebrates 35th Anniversary with Milestones and New...
8 days ago | United Kingdom
View More
Get the free app Download on theApp Store Get it onGoogle Play Learn more

About

Get the App
About Us
Our Services
Advertising
Contact Us
FAQ
How to Guide
Terms & Conditions
Disclaimer
Privacy Policy

News

Latest News
Community News (UK)
Sri Lanka News
World News
Sports News

Events

Upcoming Events
Religious
Charity/Fundraising
Dinner Dance
Past Events (Archives)
Our Media Coverages

Community

Community Home
Business Directory
Marketplace
Sri Lankans in UK Forum
Copyright ©2013-2026. All rights reserved.
Developed by Praneeth Hettiarachchi